Skip to content

Pizza Time

  • Home
  • Recipes
  • Terms & Conditions
  • Privacy Policy
Recipes

I used 5 drops of 3% hydrogen peroxide in each ear once a day. 3 days later, this is what happened

In recent years, home remedies have gained significant popularity, offering alternative solutions to common health and hygiene issues. Among the…

April 22, 2026
Recipes

After My Husband Passed Away, My Mother-in-Law Changed the Locks and Evicted Us, Believing She Was in Control, Yet She Had No Idea the Chain of Events She Set in Motion, Leading to Unexpected Consequences, Personal Empowerment, and a Dramatic Shift in Family Dynamics

The loss of a spouse shatters the familiar rhythms of life, leaving behind grief that seeps into every corner of…

April 22, 2026
Recipes

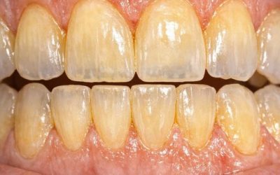
My teeth keep getting more yellow even though I brush twice a day. Why won’t they stay white?

It's a common frustration for many: despite diligent brushing twice a day, your teeth seem to get yellower over time…

April 22, 2026
Recipes

Wake Up to Less Aches: Morning Habit for Bones, Nerves & Calm

Picture this: you wake up stiff, your knees protest as you get out of bed, and even making your morning…

April 22, 2026
Recipes

Early Signs of HIV You Should Never Ignore: What Experts Want You to Know About 3.3 Million New Cases

Imagine noticing strange rashes on your hands or feeling constantly drained, but dismissing it as stress or seasonal flu. Many…

April 22, 2026
Recipes

Top 12 Amlodipine Side Effects You Might Not Hear About (And How to Manage Them)

Amlodipine is a commonly prescribed medication used to treat high blood pressure and certain types of heart disease. As a calcium…

April 22, 2026
Recipes

Is Vitamin B12 Deficiency Hiding in Plain Sight? Here’s What You Need to Know

Have you been feeling more tired than usual? Maybe your legs tingle or feel like they’re “asleep” more often than…

April 22, 2026
Recipes

Why Do Your Hands and Feet Fall Asleep Frequently? Discover What Your Body Is Trying to Tell You

You’re in the middle of a casual conversation at the dinner table, and suddenly, your hand goes completely numb. You…

April 22, 2026
Recipes

Your morning routine does more than just start your day…

Your Morning Routine Does More Than Just Start Your Day… ☀️ It quietly shapes your health — including your kidney…

April 21, 2026

Posts pagination

Previous 1 … 3 4 5 … 10 Next
Proudly powered by WordPress | Theme: Justread by GretaThemes.